讲座|眼见不一定为实(2)--病例分享
患者一周前因外伤来院骨科就诊
CT:1、右上纵隔见类圆形团块影,大小约5.0cm×3.8cm,边缘光整,其内可见点状钙化影,紧贴右锁骨下动静脉(神经鞘瘤)

2、右肺上叶尖段见实性结节,大小约为7mm×6mm,边界欠清;左肺上叶见少许条索状高密度影伴钙化,边界清

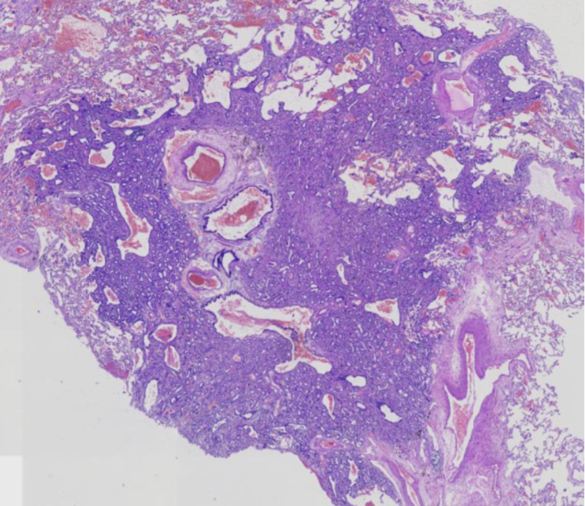
大体检查:
(右上肺结节)部分肺组织一块,大小7.6cm×3.0cm×1.5cm,一侧见一缝合口,长7.6cm,距缝合口2.2cm处见一剖口,切面紧靠胸膜见一灰白色区域,范围0.7cm×0.5cm,界限欠清,质中,余切面,灰红色,质软







HE诊断思路
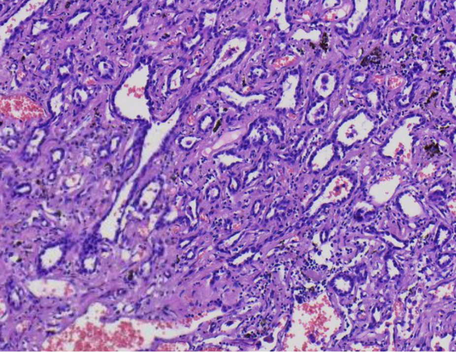
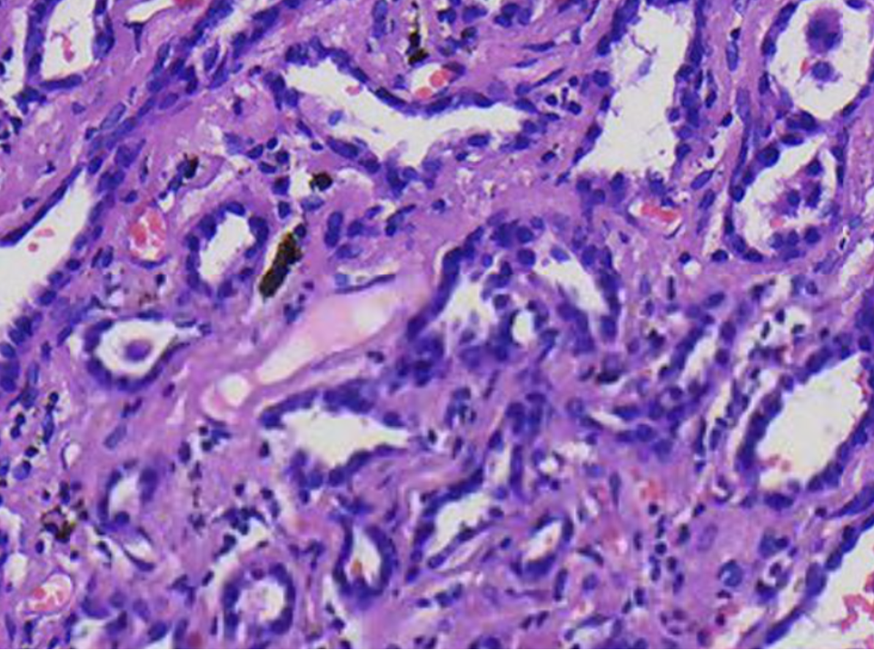
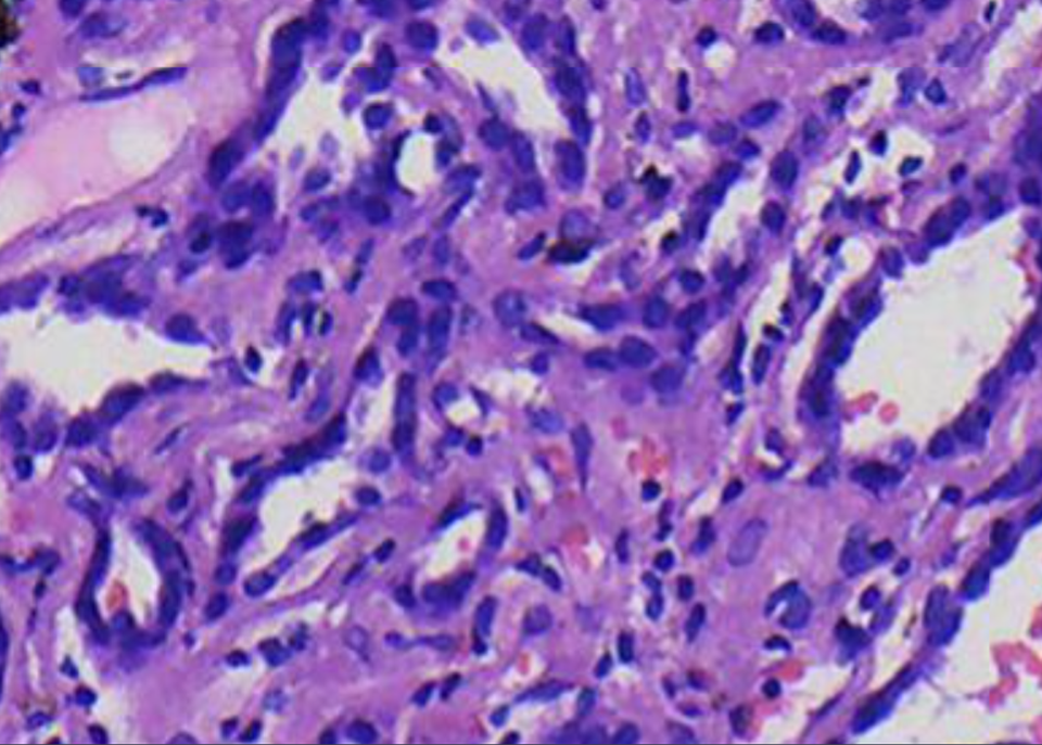
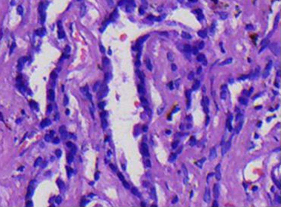
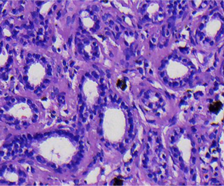
肿瘤均由腺泡结构组成
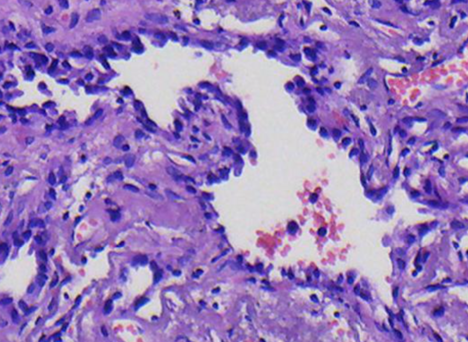
局灶可见腺上皮呈鞋钉样改变
腺泡间间质增宽
部分腺泡腔内见巨噬细胞
未见明显的双层细胞
HE诊断和鉴别诊断
浸润性腺癌 腺泡为主型/WHO分级:2级
鉴别:支气管腺瘤

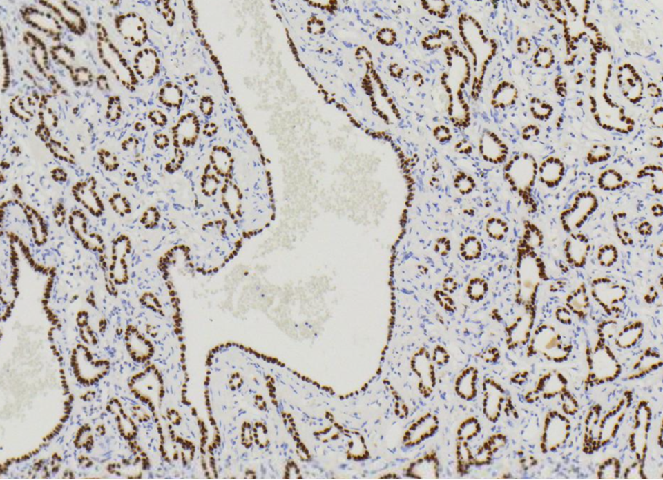
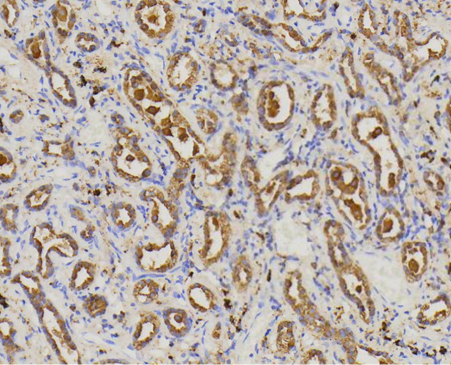
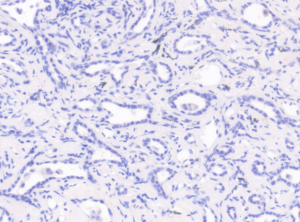
VIM

EMA

TTF-1

NapsinA

CK5/6

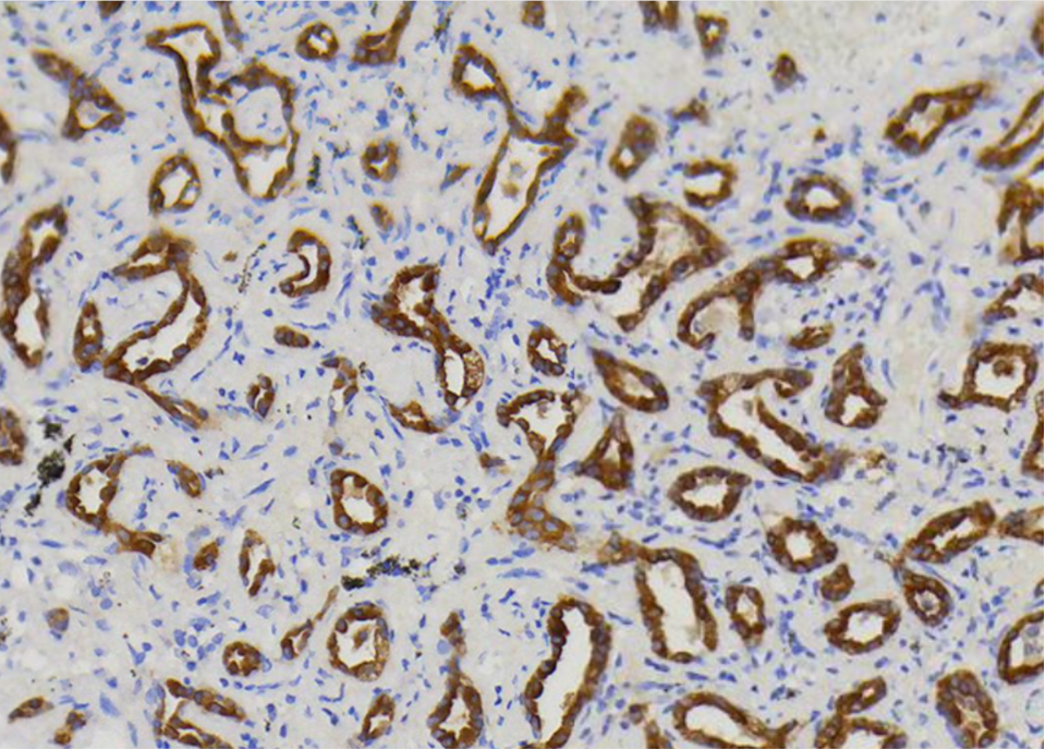
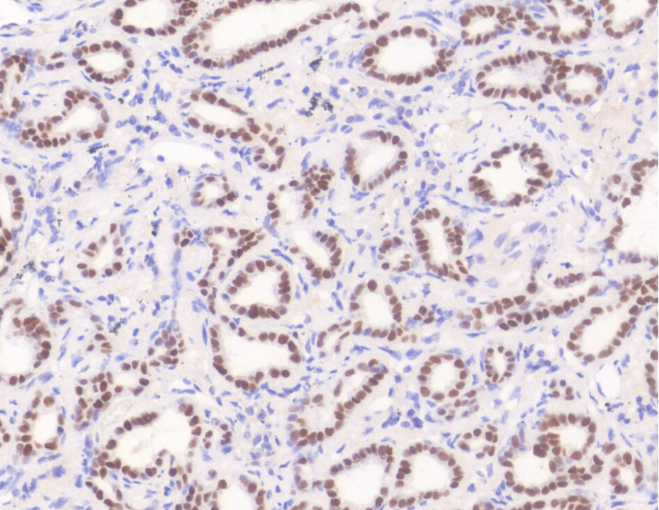
P63

KI-67
最终病理诊断
(右肺上叶)浸润性腺癌 非黏液型/WHIO分级:2级,表达p63.
正确认识p63
p63是p53基因家族的成员,属于核转录因子;
参与细胞增殖、分化和凋亡调控;
在免疫组化检测中,p63+表示样本细胞核中存在该蛋白的表达,通常用于标记特定类型的细胞(如肌上皮细胞、基底细胞).
表达p63的肿瘤
鳞状细胞癌
胸腺瘤
弥漫性大B细胞淋巴瘤(42.5-47.8%,独立的预后因素)
基底细胞样乳腺癌
黏液表皮样癌
肌上皮肿瘤
乳腺化生性癌
肺占位穿刺活检组织诊断
p63在鉴别鳞状细胞癌和腺癌时没有p40特异
对于小的穿刺活检组织,因为应尽量保存组织做必要的分子检测,故常常仅用TTF-1、p40来鉴别鳞癌和腺癌当出现组织学结构为实体癌时,不能仅仅依靠p63的表达与否而确定是否为鳞癌
(本例由皖南医学院 张帆 教授审定,授权发表)

