讲座|硬化性肺细胞瘤1例介绍
女,30岁,既往体质一般;否认慢性病史否认慢性病史;否认传染病史否认传染病史;否认外伤史否认外伤史;否认手术史否认手术史;否认输血史否认输血史;否认过敏史否认过敏史;按时预防接种。体检发现右下肺结节3年余。近期有增大趋势,入院就诊。
大体检查:①、右下肺结节1:肺组织一块,大小约8.1*4.5*2.1cm,吊线处见灰白色灶,紧邻胸膜,见灰白结节,约直径0.7cm,界清,质中。②、右下肺结节2:肺组织一块,大小约4.5*1.5*1.0cm,吊线处见灰黑色结节约直径0.3cm。(术后)送检淋巴结4袋。
术中冰冻:倾向于肺硬化性肺细胞瘤,待免疫组化结果。
镜下特征:
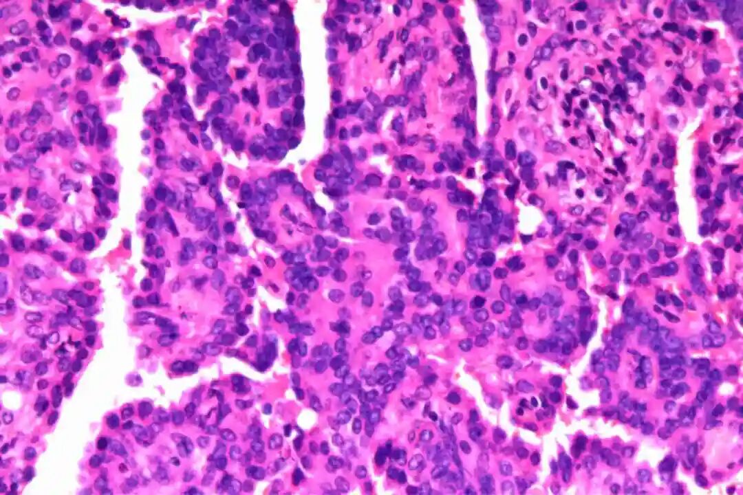
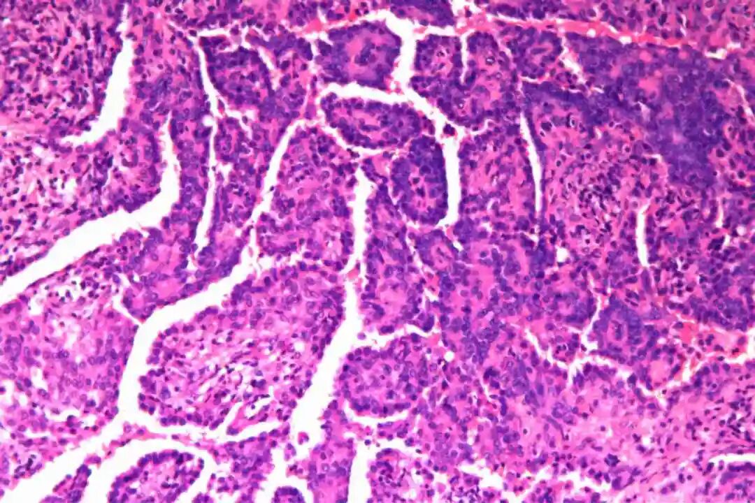
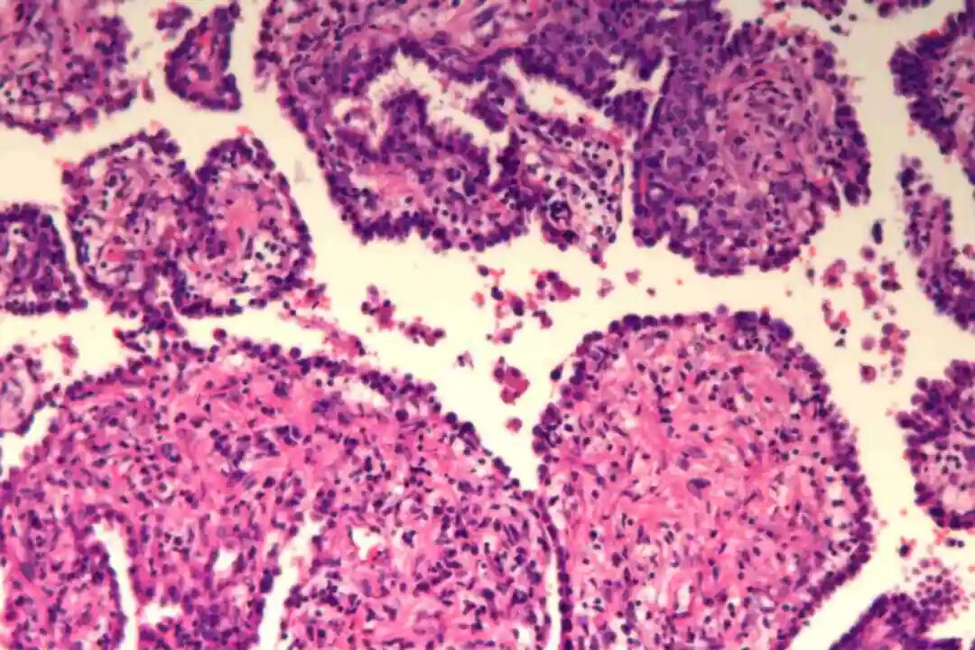
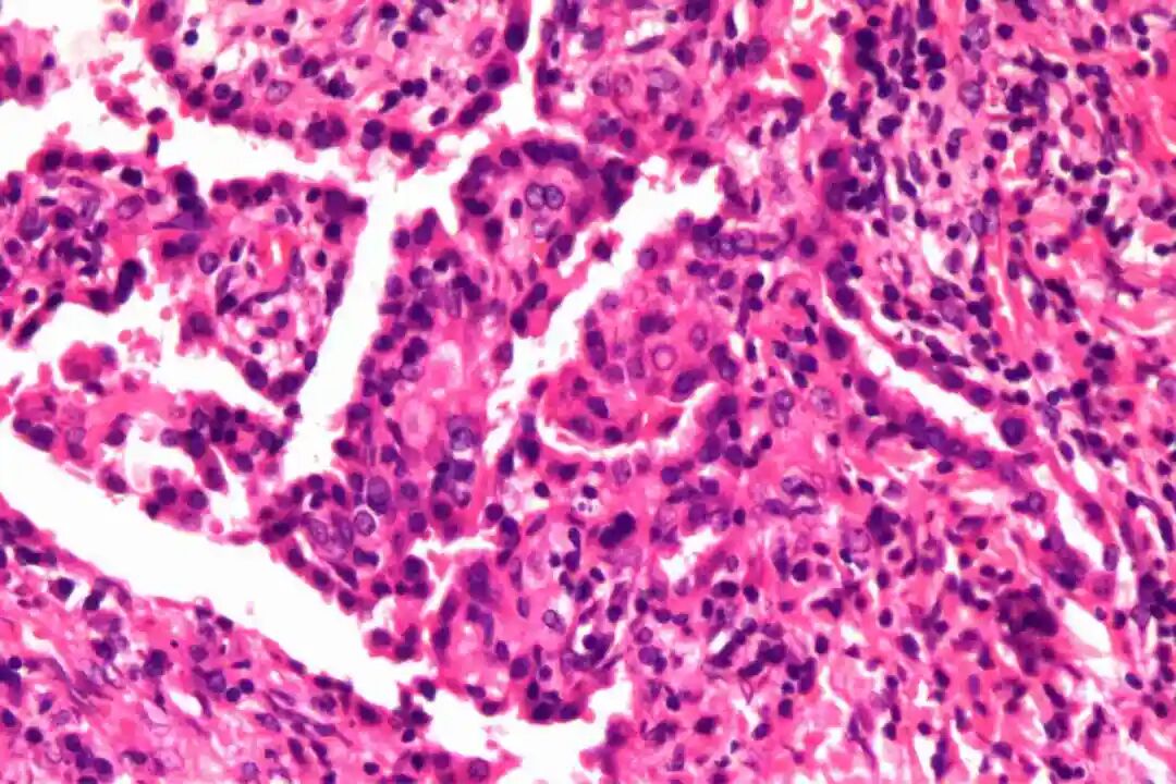
细胞形态:两种独特的细胞类型,即表面立方细胞和间质圆形细胞。表面立方细胞通常呈立方形或低柱状,细胞核圆形或椭圆形,染色质细腻且分布均匀,核仁不明显或较小。细胞质丰富,呈嗜酸性,有时可见细小的颗粒状物质。间质圆形细胞则具有较大的核质比,细胞核多为圆形或卵圆形,染色质较深,核仁清晰可见。细胞质较少,呈淡嗜酸性或透明状,部分细胞可表现出一定的多形性。
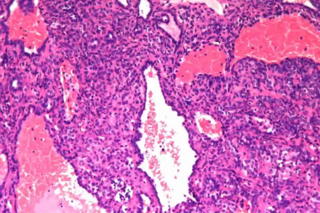
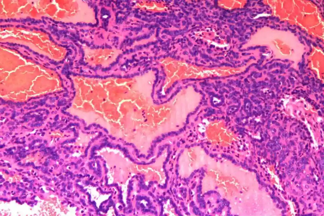
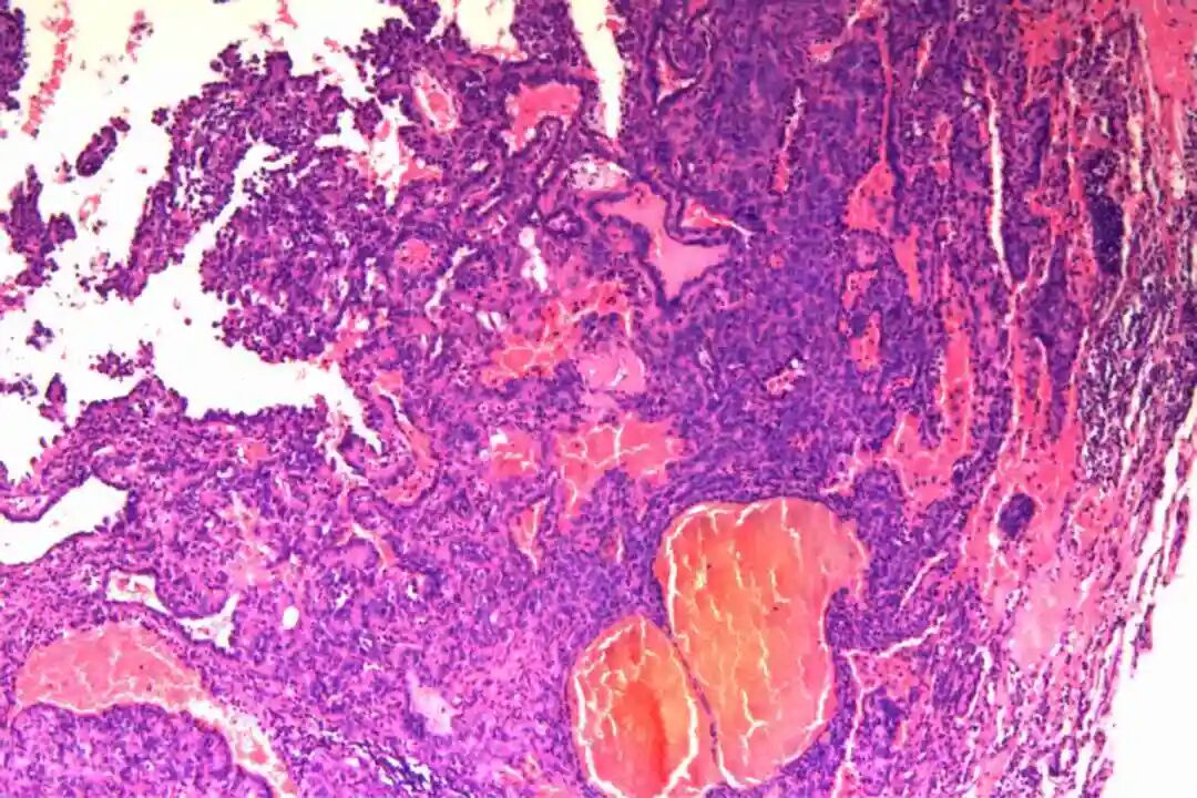
组织特征:包括硬化区、出血区、实性区和乳头状区四种典型形式。硬化区由大量胶原纤维组成,其间散在分布着间质圆形细胞,这些细胞常围绕血管或呈片状排列。出血区则以红细胞积聚为特征,伴有泡沫状巨噬细胞和含铁血黄素沉积,周围可见表面立方细胞形成的血管样结构。实性区由密集的间质圆形细胞构成,细胞排列成片状或巢状,其间可见少量表面立方细胞覆盖的小管状结构。乳头状区最为复杂,其核心由纤维血管轴组成,表面被覆一层或多层表面立方细胞,周围环绕间质圆形细胞。这四种结构在肿瘤中往往以不同的比例混合存在,形成了PSP独特的病理景观。
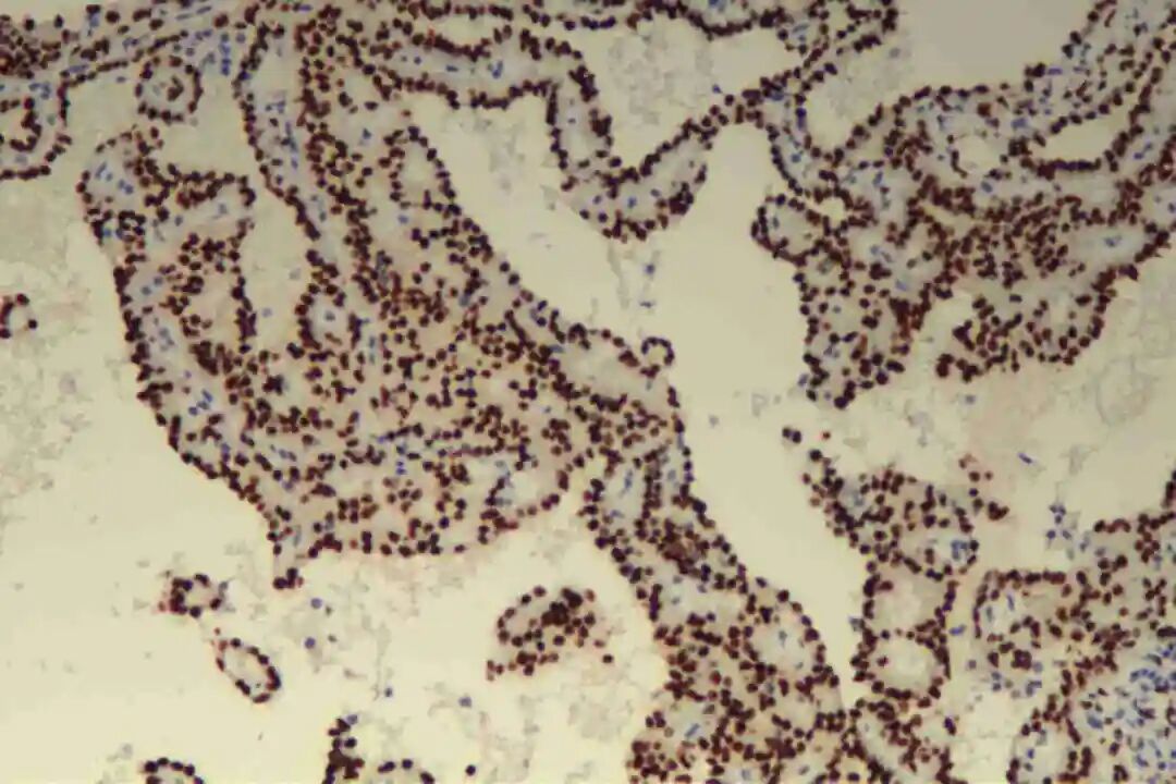
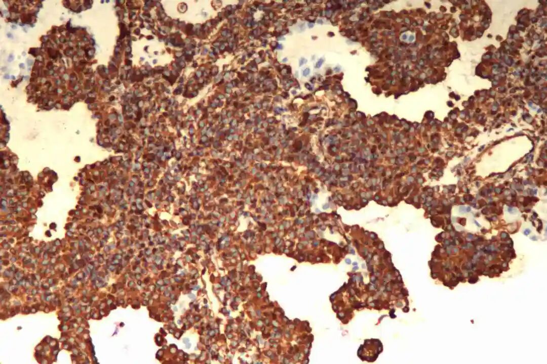
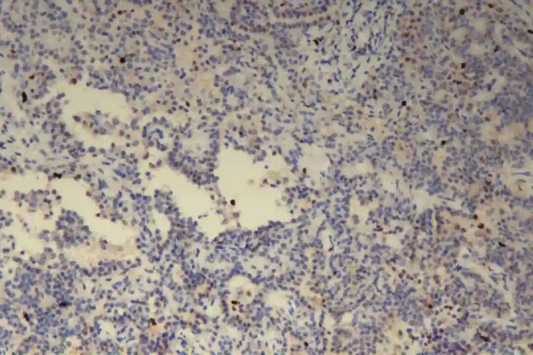
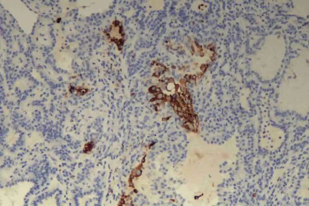
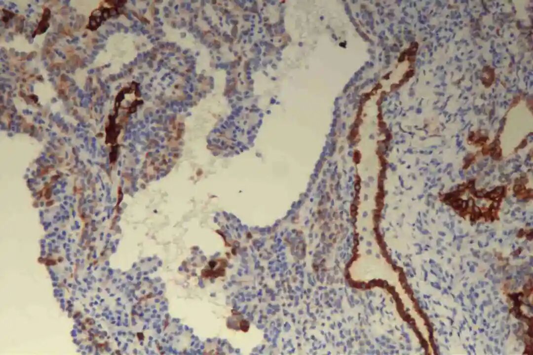
免疫组化:表面细胞:CKpan(+),TTF-1(+),NapsinA(+),EMA(+),Vimentin(+),CK7(+),CD56(-),Ki67(5%+);间质细胞:TTF-1(+),EMA(+),Vimentin(+)。
病理诊断:(右下肺1)硬化性肺细胞瘤(乳头状腺瘤),约直径0.7cm,切缘净。“第10组”淋巴结(0/1)、“第11组”淋巴结(0/1)、“第12组”淋巴结(0/1)、“第13组”淋巴结(0/1)枚均呈反应性增生。
讨论:手术切除是目前治疗硬化性肺细胞瘤(PSP)的主要方法,其适用范围广泛且效果明确。根据文献报道,楔形肺切除术是常用的手术方式,既可通过开胸手术实施,也可采用胸腔镜技术完成。胸腔镜手术因其微创性和术后恢复快的优势,逐渐成为首选方案。此外,对于部分病例,尤其是肿瘤较小或位置较深的患者,保留肺组织的局部切除术也可能被考虑。然而,由于PSP术前影像学诊断困难,常需术中冰冻切片以明确性质,从而决定最终的手术范围。放化疗在PSP治疗中的应用相对有限,主要用于无法手术或存在恶性转化的患者。尽管有文献报道PSP可发生淋巴结转移或远处转移,但此类情况极为罕见,因此放化疗的具体疗效尚需进一步验证。
硬化性肺细胞瘤被认为是一种良性肿瘤,但其复发和转移的情况不容忽视。文献中偶有报道显示,PSP可发生区域性淋巴结转移或远处器官转移,提示该肿瘤可能存在低度潜在恶性生物学行为。复发和转移的相关因素主要包括肿瘤大小、病理特征及手术切除的彻底性。例如,肿瘤直径大于5cm或含有较高比例实性区的患者更容易出现复发。此外,分子病理研究表明,AKT1基因改变可能与肿瘤的侵袭性和转移能力有关,但仍需更多实验数据支持这一假设。针对复发或转移的病例,再次手术切除仍是主要的治疗策略,而放化疗的效果尚不明确。因此,加强术后随访并定期监测影像学变化对于早期发现复发或转移至关重要,这有助于及时采取干预措施以改善患者的预后。
分子改变:AKT1基因突变的患者的肿瘤往往表现出更高的增殖活性,且临床症状可能更为严重。此外,基因表达谱的分析结果显示,特定基因(如TTF-1和vimentin)的共表达模式与患者的生存率和治疗反应密切相关。例如,TTF-1高表达的患者可能对某些靶向治疗药物更具敏感性,而vimentin的高表达则可能提示较差的预后。

