讲座|炎症性肠病(IBD)的几个重要慨念介绍
IBD(炎症性肠病,Inflammatory Bowel Disease)是一种慢性、复发性炎症性疾病,主要影响胃肠道。多因素作用,环境因素,遗传、免疫系统失调,肠道微生物群紊乱等,多发生于青少年和年轻成人,慢性炎症过程,反复发作。
包括主要两种亚型:溃疡性结肠炎(ulcerative colitis, UC)和克罗恩病(Crohn's disease, CD)
UC的特征:主要局限于结肠(大肠)的黏膜层,表现为连续的炎症反应,通常从直肠开始并向近端延伸。
CD的特征:胃肠道任何部分的透壁性炎症性疾病,从口腔到肛门均可受累,但最常见于末端回肠和结肠。与UC不同,CD的炎症是不连续的(呈“跳跃性”病变),并可能深入肠壁全层,导致并发症如瘘管、狭窄或脓肿,形成肉芽肿。
IBD包括UC和CD,UC强调连续性病变,起始于直肠;CD强调透壁、跳跃式炎症,常见于末端回肠和结肠,形成肉芽肿。
评价因素:结合病理可能性、临床症状、病程、内镜、影像等多方面信息。
病理诊断:仅能够作为评估肠道炎症的病理学依据;
IBD诊断:综合考虑多种临床特征以确定诊断
临床定义IBD=病理可能性评价+临床症状、病程、内镜、影像等

IBD可能性评价

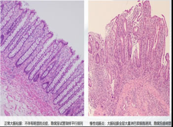
慢性肠炎的相关诊断特征
IBD病理诊断基本形态学特征:慢性肠炎是IBD的病理诊断基本形态学特征
具体表现:包括隐窝结构的改变(隐窝萎缩、扭曲、拉长或化生性改变)、炎症(黏膜全层弥漫浆细胞浸润,不局限于黏膜浅层)
活动性慢性肠炎诊断:慢性肠炎 + 中性粒细胞、糜烂、溃疡 = 活动性慢性肠炎(活动性非IBD的诊断基础)
两者未同时具备的情况
两者没有同时具备时,描述黏膜类型(大肠or小肠黏膜) + 隐窝或炎症情况

大肠黏膜表面绒毛状改变-----是UC的典型病理改变

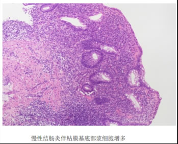
黏膜基底部浆细胞密集增多:黏膜基底部大量浆细胞浸润,位于隐窝底部与黏膜肌层之间,使隐窝底部与黏膜肌层不紧贴。


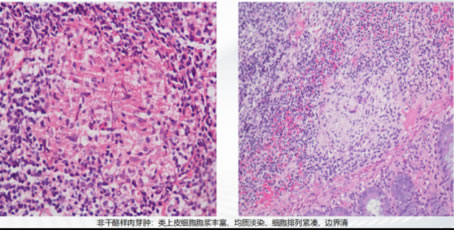
非干酪样肉芽肿

是克罗恩病最具有形态学特征性的指标;
≥5个类上皮细胞聚集形成的结节状病灶,无坏死,伴或不伴多核巨细胞;直径一般≤400um,多无融合。
肥厚性慢性回肠炎肥厚性慢性回肠炎=慢性回肠炎+黏膜增厚(黏膜厚度超过一个高倍视野)+绒毛增宽(绒毛间质宽度超过半个高倍视野)或绒毛消失对CD的病理诊断具有较大价值(特别是<40岁)

总结
1,IBD包括UC和CD
2,UC:一般起始于直肠,向近端延伸,连续弥漫的炎症
3,CD:常起始于末端回肠,跳跃式的炎症,常形成非干酪样肉芽肿。
4,诊断IBD的病理形态学基础:慢性肠炎=隐窝结构的改变+全层浆细胞浸润
5,诊断IBD的典型病理特征:黏膜基底部浆细胞密集增多
6,CD的典型病理变化:非干酪样肉芽肿、肥厚性慢性回肠炎

