讲座|直肠原发性Syn(突触素)阳性的黏液腺癌1例介绍








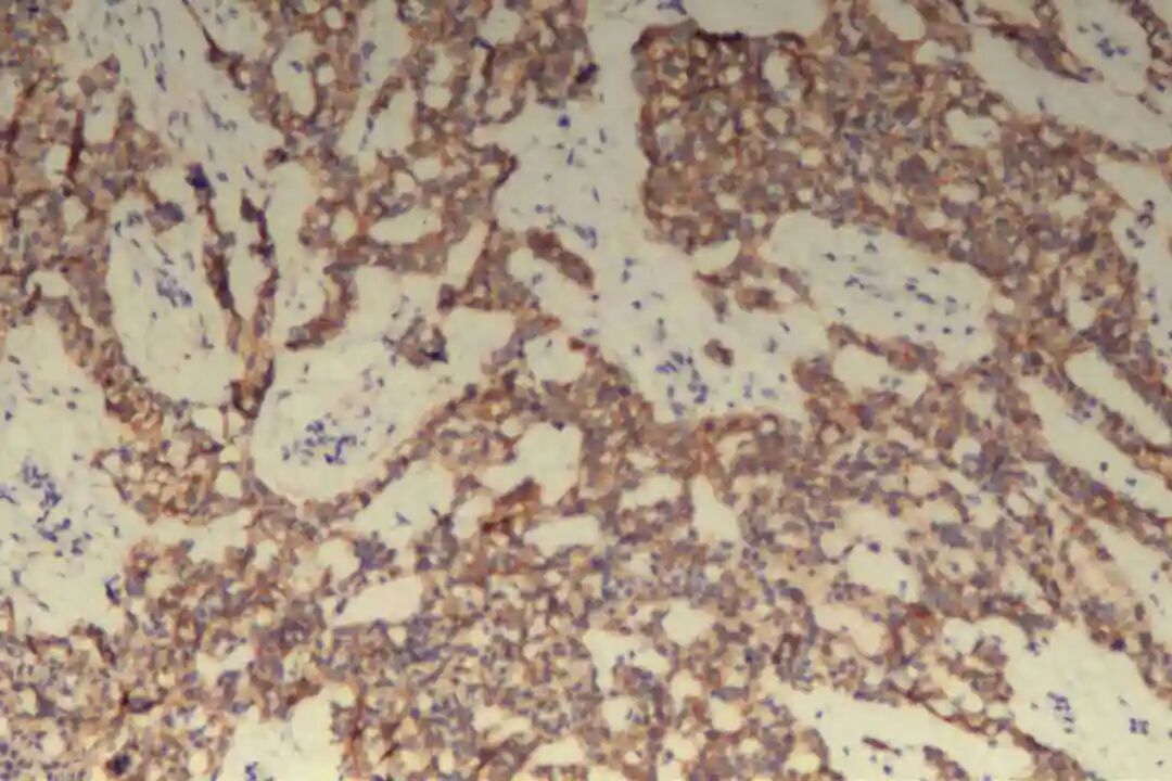
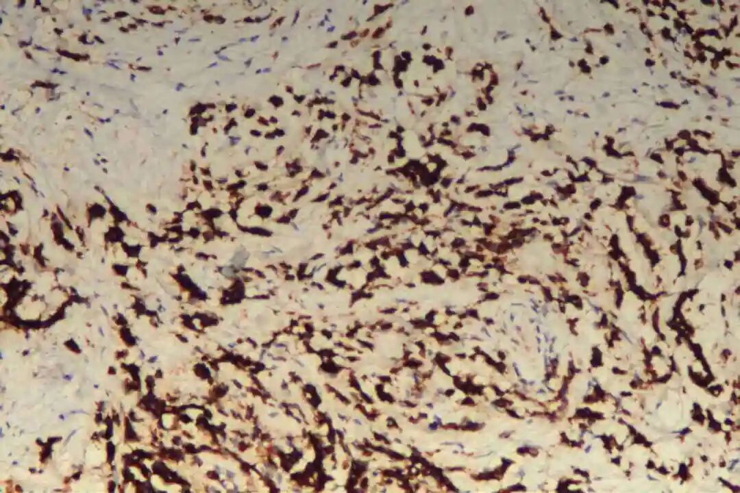
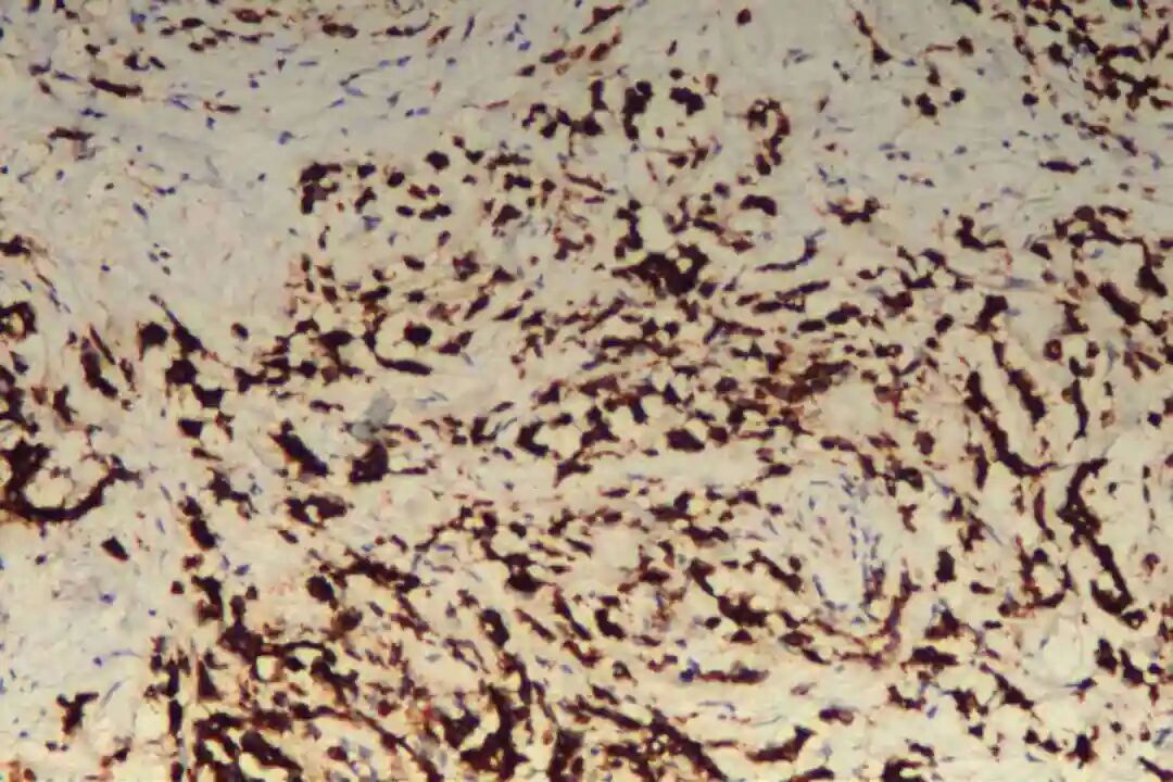
免疫组化:Her-2(0),P53(突变表型),CK20(+),CDX-2(+),SATB-2(-),Syn(+),INI-1(SMARCB1)(+),BRG1(SMARCA4)(+),Ki67(90%+),INSM1(灶+),CgA(-);
错配修复基因蛋白(pMMR):MLH1(+),MSH2(+),MSH6(+),PMS2(+)。
特殊染色:AB-PAS(+)。
一、核心标志物意义
1.Syn(突触素):是神经内分泌细胞的特异性标志物,阳性提示肿瘤存在神经内分泌分化,即肿瘤细胞同时具备腺上皮分泌黏液与神经内分泌细胞分泌肽类激素的双重特征。
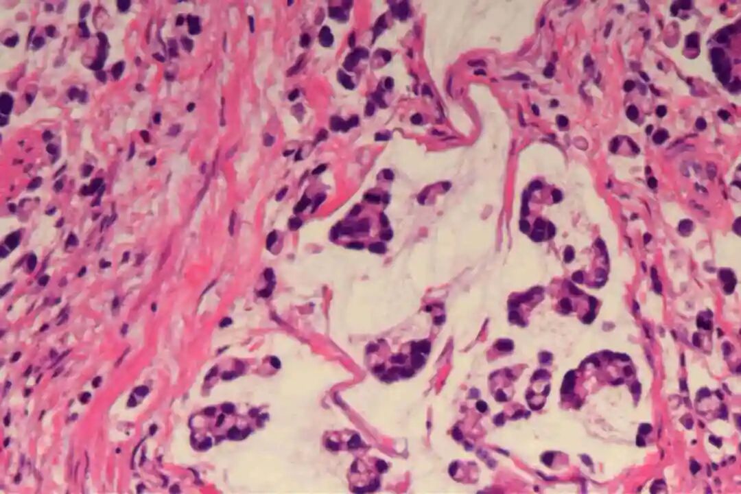
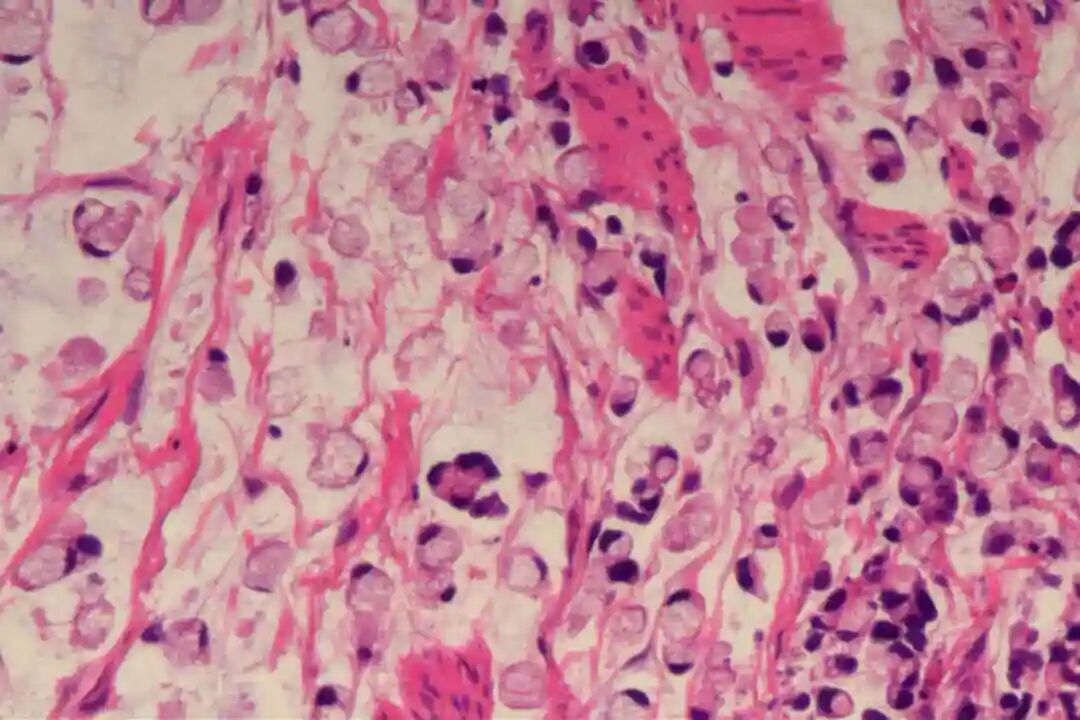
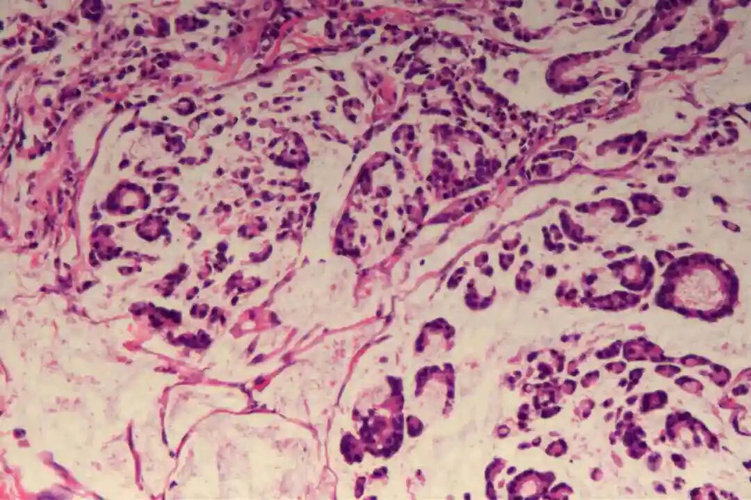
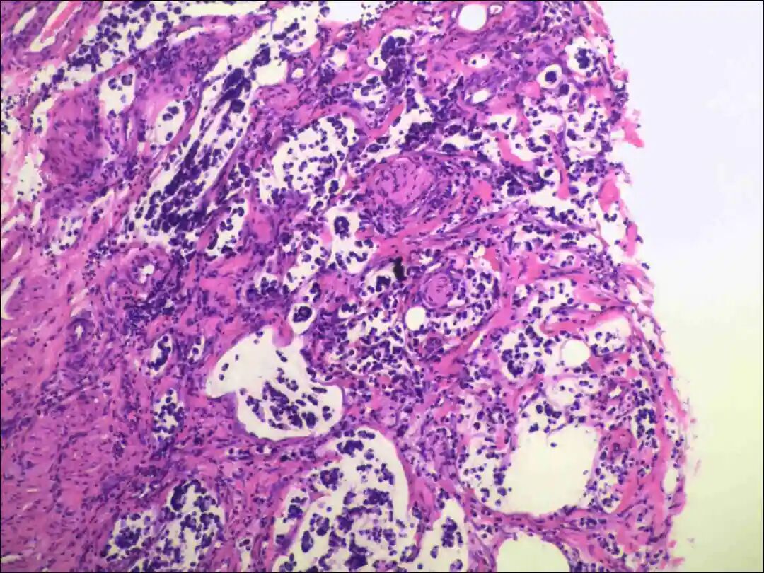
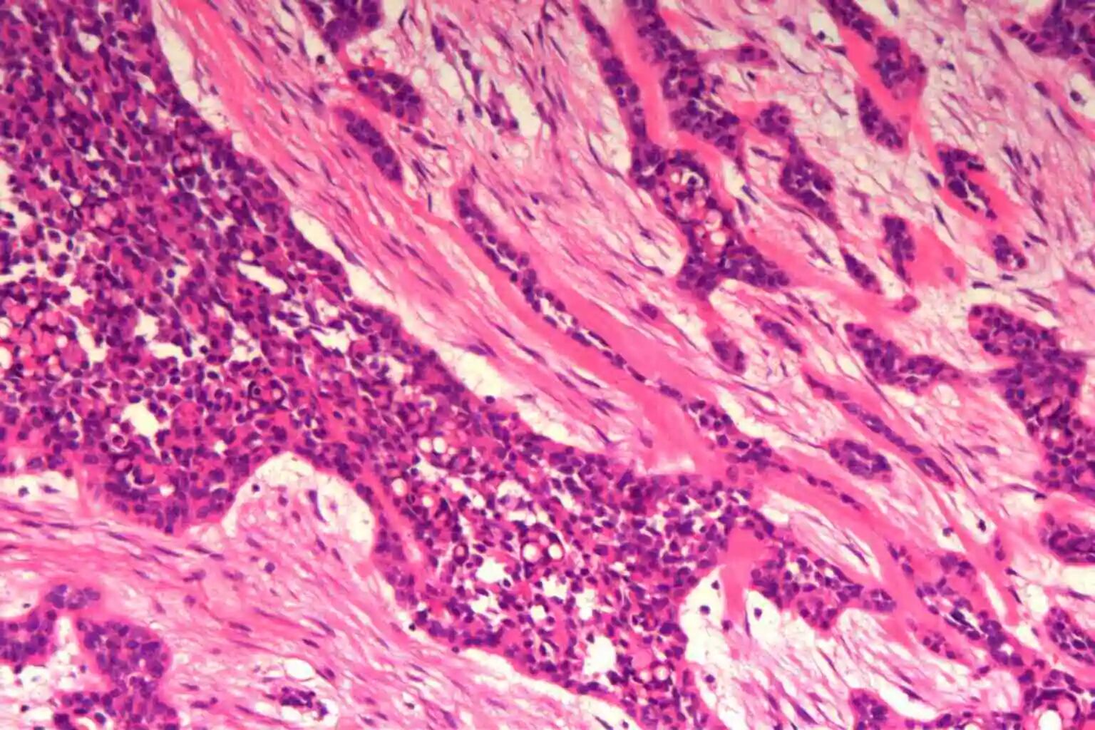
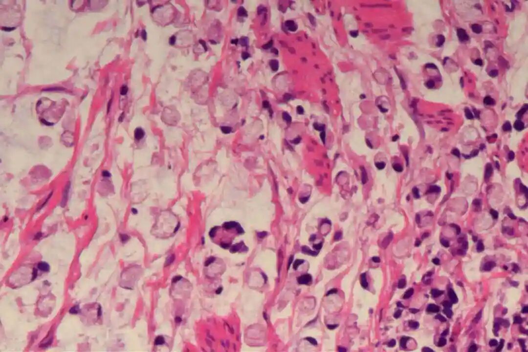
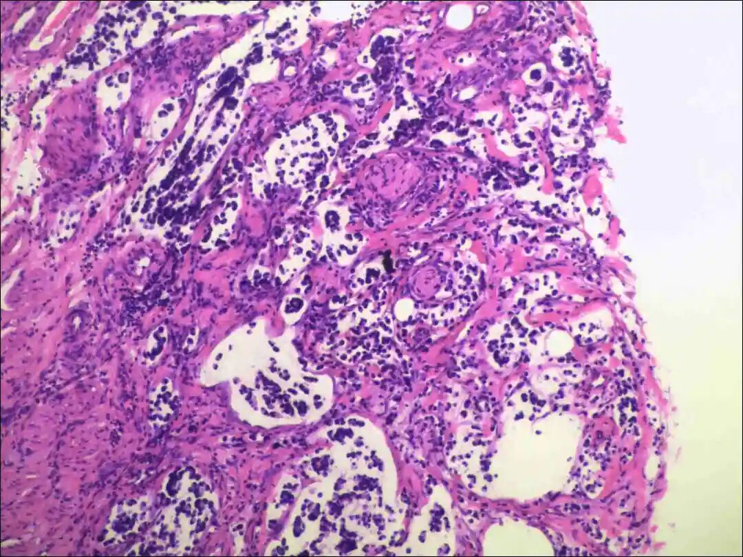
2.黏液腺癌基础特征:肿瘤细胞分泌大量细胞外黏液形成“黏液湖”,癌细胞漂浮其中或呈巢状、腺样排列,细胞核多为低 - 中级别,核分裂象低。
二、常见部位与病理及临床特点
1、乳腺:单纯型(>90% 黏液)为主,分A/B 型;B 型常伴神经内分泌分化,细胞丰富、Syn/CgA 阳性、ER/PR 多阳性,HER2 常阴性,Ki67 多 < 30%;占乳腺癌1%-6%,B 型较 A 型侵袭性略高,预后整体较好。
2、肺:浸润性黏液腺癌,部分伴神经内分泌分化;TTF - 1 阴性,CK7 阳性,Syn/CgA 可阳性,黏液相关 MUC5AC 等阳性;占肺腺癌2%-5%,易多发 / 双侧,可伴气道播散,预后较普通肺腺癌差异大。
3、胃肠道:结肠、胃等部位黏液腺癌偶见神经内分泌分化,CK20、CDX - 2 可阳性,Syn/CgA 局灶或弥漫阳性,常伴黏液湖、印戒细胞,分化程度影响预后,需与神经内分泌肿瘤鉴别。
三、诊断要点
1. 形态学诊断:肿瘤组织含大量细胞外黏液,黏液成分占比通常>90%(单纯型),癌细胞呈小簇状、巢状漂浮于黏液湖中,B型乳腺黏液癌等可表现为细胞丰富伴神经内分泌形态(如胞质颗粒状)。
2. 免疫组化确认:Syn阳性是核心标志,常联合CgA(嗜铬粒蛋白A)、NSE(神经元特异性烯醇化酶)等提升神经内分泌分化检出率,同时需检测原发部位特异性标志物(如乳腺ER/PR/HER2、肺CK7/TTF - 1、胃肠道CK20/CDX - 2)以明确来源与分型。
3. 鉴别诊断:需排除纯神经内分泌肿瘤(无大量黏液)、混合型癌(黏液成分<90%且伴其他恶性成分)、转移性黏液腺癌等,避免误诊。
四、治疗与预后
(一)、治疗原则
1、乳腺:单纯型以手术为主,B型因伴神经内分泌分化,术后可结合内分泌治疗;若淋巴结阳性或分化差,可联合化疗,HER2阴性一般不推荐靶向治疗。
2、 肺:以手术切除为首选,晚期或转移性病例可采用含铂化疗,伴神经内分泌分化者可尝试依托泊苷等神经内分泌肿瘤相关方案,免疫治疗获益需依据PD - L1表达等评估。
3、 胃肠道:根治性手术+区域淋巴结清扫为核心,术后辅助化疗方案参照普通腺癌,神经内分泌分化对化疗敏感性影响尚无统一结论,需个体化选择。
(二)、预后影响因素
1、分化程度:低级别(核异型小、核分裂少)预后优于高级别。
2、分期:早期局限型预后显著优于晚期转移型。
3、神经内分泌分化程度:弥漫Syn阳性可能提示侵袭性增加,如乳腺B型较A型复发风险略高;但整体仍优于高级别纯神经内分泌癌。
五、临床注意事项
1. 避免将Syn阳性黏液腺癌等同于神经内分泌癌,两者治疗策略差异大,需通过形态学+免疫组化严格区分。
2. 乳腺B型黏液癌等亚型,虽预后较好,但需关注淋巴结状态与Ki67指数,以制定术后辅助治疗方案。

