讲座|2026 第六版WHO分类消化系统更新

十二指肠病变
无新增分类变更;核心更新集中于CAR-T细胞治疗、利妥昔单抗等药物相关的黏膜损伤模式。
(一)CRT细胞治疗相关性肠炎
1. 临床背景
适用场景:用于治疗复发/难治性血液恶性肿瘤,靶点以B细胞成熟抗原(BCMA)、CD19为主(两者在肿瘤性及非肿瘤性造血细胞中均表达);
损伤机制:改造后的T细胞攻击肿瘤抗原时,对正常细胞产生脱靶损伤;
胃肠道不良事件:发生率低(BCMA CAR-T治疗患者中仅1.2%),但可出现水样腹泻、恶心,严重时发生结肠坏死穿孔,危及生命。
2. 病理特征(以十二指肠为典型)
核心表现:明显绒毛变钝、上皮内淋巴细胞显著增多、固有层浆细胞缺失(被淋巴细胞替代)、隐窝上皮细胞凋亡增加、胃小凹上皮化生;
关键标志物:无特异性免疫表型,主要依赖组织形态学+临床病史确诊。

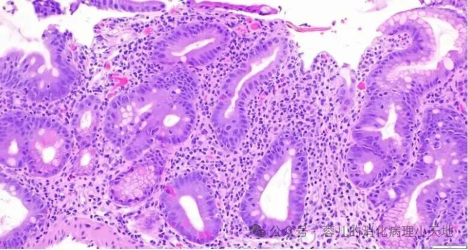
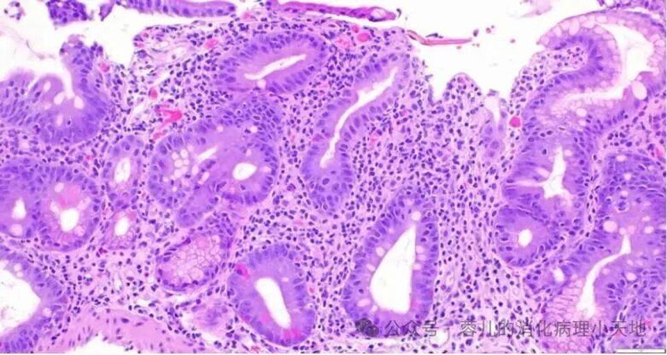
接受 CAR-T 疗法的患者十二指肠:黏膜深层可见斑片状异质性绒毛变钝,伴小凹/胃上皮化生、凋亡性脓肿、隐窝凋亡小体增多以及显著的上皮内淋巴细胞;固有层细胞增多;但无浆细胞。

接受 CAR-T 疗法的患者十二指肠。黏膜深层可见斑片状异质性绒毛变钝,伴小凹/胃上皮化生、凋亡性脓肿、隐窝凋亡小体增多以及显著的上皮内淋巴细胞;固有层细胞增多;但无浆细胞。
鉴别诊断要点:
移植物抗宿主病(GVHD):临床有移植史,固有层浆细胞不一定缺失;
常见变异性免疫缺陷(CVID):显著淋巴细胞聚集、肉芽肿、叠加感染、胶原样损伤模式;
免疫检查点抑制剂损伤:固有层浆细胞增多,隐窝破裂伴肉芽肿,上皮内淋巴细胞不增多;
药物诱导损伤(霉酚酸酯相关损伤):隐窝凋亡伴中性粒细胞性隐窝炎,嗜酸性粒细胞浸润;
感染性肠炎:可检出病原体,固有层炎症以中性粒细胞为主。
(二)利妥昔单抗相关性肠病
1. 临床背景
药物属性:嵌合抗CD20 IgG1-κ单克隆抗体,广泛用于B细胞淋巴增生性疾病、自身免疫性疾病治疗;
胃肠道毒性:发生率较低,但可出现慢性腹泻、吸收不良、显著低丙种球蛋白血症,部分患者表现为与原发性CVID肠病极为相似的临床表型;
机制:B细胞和浆细胞耗竭,导致胃肠道黏膜免疫屏障受损。
2.病理特征(小肠+结肠均可见,十二指肠受累常见)
核心表现:固有层浆细胞减少或完全缺失,伴绒毛萎缩、上皮内淋巴细胞增多;
次要表现:隐窝上皮损伤(大量凋亡小体)、局灶性隐窝脓肿、杯状细胞缺失、上皮下胶原增厚、潘氏细胞减少,罕见肉芽肿;
本质:组织病理学改变与原发性CVID肠病高度重叠,反映黏膜免疫功能的严重紊乱。
3. 鉴别诊断要点
需排除原发性CVID(无利妥昔单抗用药史,有特异性免疫缺陷实验室指标);
排除GVHD(无移植史)、自身免疫性肠病(有自身抗体阳性);
结合临床:血清学阴性、非致病性感染检查阴性、利妥昔单抗用药史明确,可初步确诊。
总结1. 标准化诊断流程
采用WHO第六版分类术语,统一食管表皮样化生、胃肠上皮化生及异型增生的诊断标准,减少误诊;
病理报告需明确标注:肠上皮化生分型(CIM/IIM)、胃异型增生亚型、是否存在治疗相关损伤特征。
2. 优化临床决策
消化内科医生:对高风险人群(如胃癌家族史、HPV阴性食管白斑患者)需按指南要求全面采样,结合病理报告制定监测方案;
病理科医生:遇到不明原因黏膜损伤时,需主动询问患者是否有CAR-T、利妥昔单抗等用药史,避免误判为感染或免疫性疾病。
3. 降低治疗风险
新型治疗相关损伤若误判为感染性肠炎,可能导致不必要的抗感染治疗;若误判为自身免疫性疾病,可能启动免疫抑制剂治疗,加重损伤;
精准识别损伤模式,可指导临床调整治疗方案(如暂停相关药物、对症支持治疗),避免治疗延迟或中断。
4. 聚焦高危病变监测
食管表皮样化生:严格遵循“初始6个月/次,无异常后1年/次”监测频率;
胃IIM:结合幽门螺杆菌根除情况,每1-2年进行一次内镜随访;
胃异增生:根据亚型及病变范围,选择内镜下切除或密切监测(MAPS III指南推荐)。
总之,2026年上消化道病理的更新,既体现了分子生物学与临床实践的深度融合,也对消化内科与病理科医生的协作提出了更高要求;
精准把握分类标准、识别治疗相关损伤、优化高危病变监测,将为患者带来更个性化的诊疗体验,最终改善预后。
备注:参考文献略,仅供学习之用,如有侵权,请联系删除;
本幻灯出自2026年1月8日马蓉老师的《蓉儿的消化病理小天地》,特此感谢。

