讲座|2026 第六版WHO分类消化系统更新
2026年世界卫生组织(WHO)《消化系统肿瘤分类》第六版正式发布,对上消消化道(食管、胃、十二指肠)病变的分类标准、术语定义及诊断逻辑进行了关键调整;免疫疗法
免疫疗法、靶向治疗的广泛应用催生了独特的上消化道黏膜损伤模式,给临床诊断带来新挑战;
基于最新指南与病理研究,详细拆解核心更新、病理特征、鉴别要点及临床管理策略,为消化内科及病理科医生提供实操性参考。
食管病变
1. 分类与生物学属性
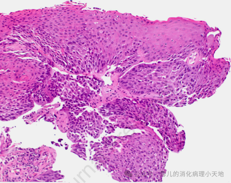
新增食管表皮样化生为独立病变类型;
该病变是食管鳞状细胞癌的明确前体病变,在鳞状上皮异型增生及浸润性癌患者中检出率高,且与头颈部“增生性疣状增生”病理特征相似,均与人类乳头状瘤病毒(HPV)感染无关(日本曾命名为“正角化性异型增生”)。2. 临床与病理特征
流行病学:普通人群患病率极低,仅0.19%(一项1000余例连续病例调查数据);危险因素与食管鳞状细胞癌一致,包括吸烟、饮酒、扁平苔藓,部分在巴雷特食管监测患者中偶然确诊;
组织学表现:病变区域界限分明,主要特征为角化过度、轻度棘层肥厚,可见类似皮肤的颗粒细胞层,但无皮肤附属物;与相邻正常鳞状上皮呈突然过渡,缺乏经验易漏诊;
分子特征:已在病变组织中检测到TP53突变,且部分食管鳞状细胞癌患者的肿瘤组织中存在相同突变,证实两者的克隆相关性。

食管鳞状上皮,具有一层致密的角化层和一层颗粒层,显示出与相邻正常鳞状上皮的突然过渡

表皮样化生伴鳞状细胞癌
3. 监测与管理建议
2024年发布的专项指南建议:初始阶段每6个月进行一次内镜监测,并行四象限活检+p53免疫组化染色;
若连续两次无异常(未发现发育不良),后续改为每年监测一次;
注意事项:p53染色对该病变的诊断价值仍存争议,因表皮样化生未表现出特征性染色突变模式,指南作者未明确其推理依据,临床需结合组织形态学综合判 断。(未完待续)

