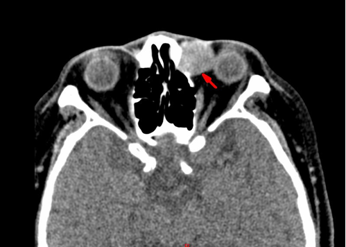
讲座|左泪囊肿瘤一例病例分享

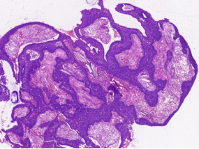
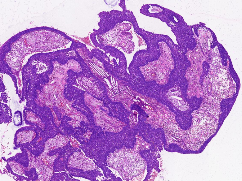
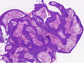
第一次手术送检:灰白碎组织一堆,合计直径1.4cm,切面灰红,质地较脆。
第二次手术送检:暗红色不整形肿块一堆,大小合计2.0cm×1.5cm×0.7cm,切面灰红,质地较脆。另送泪囊周围暗红碎组织一堆,合计直径0.5cm,质地较脆。







免疫组化




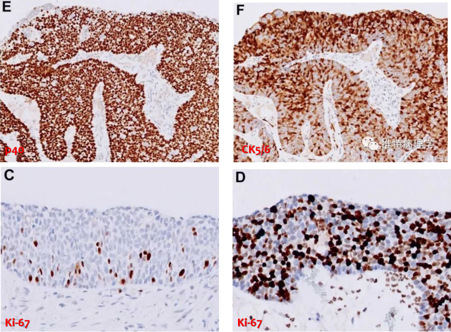
免疫组化结果:AE1/AE3(+)、CK5/6(+)、p40(+)、p63(+)、CK8(部分+)、CK19(+)、EMA(部分+)、AR(+)、SMARCA4(+)、SMARCB1(+)、Ki-67增殖指数为5%~20%
GCDFP-15(-)、p16(局灶+)、CK7(局灶+)、p53(野生型)、CK20(-)、vimentin(-)、S-100(-)、NUT-1(-)
原位杂交EBER(-)


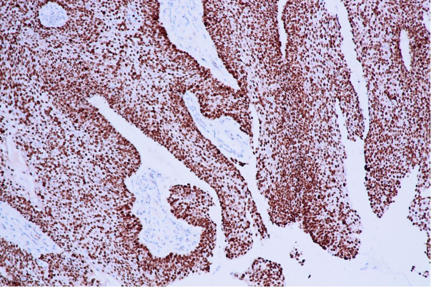
AFF2 +

FISH检测显示患者肿瘤细胞核内红绿分离信号占比30%,结果阳性,提示DEK 基因发生断裂。
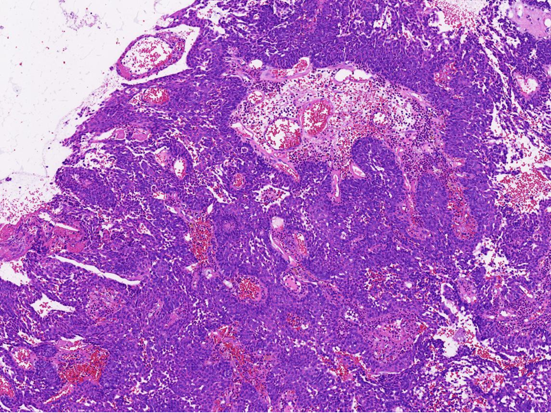
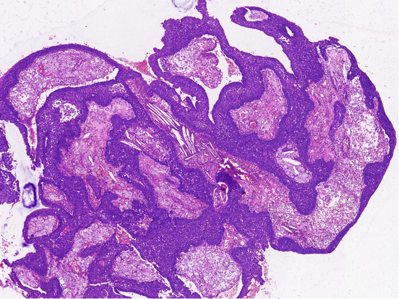
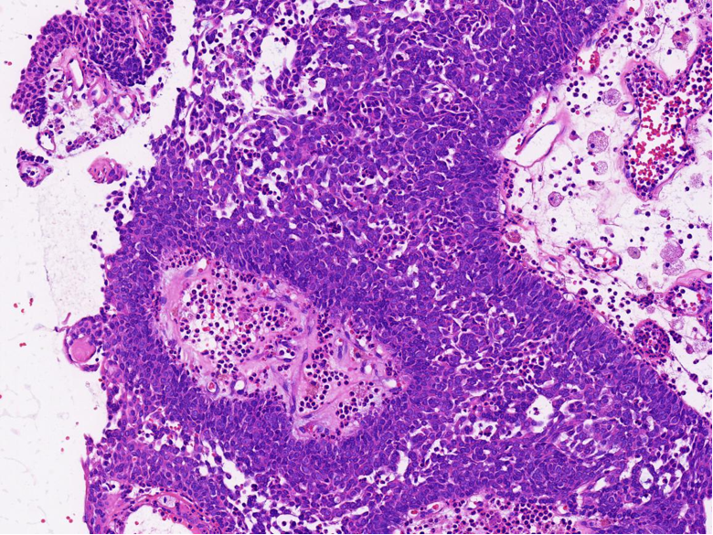
病理诊断:(左泪囊)DEK-AFF2 融合相关的鳞状细胞癌。
讨论
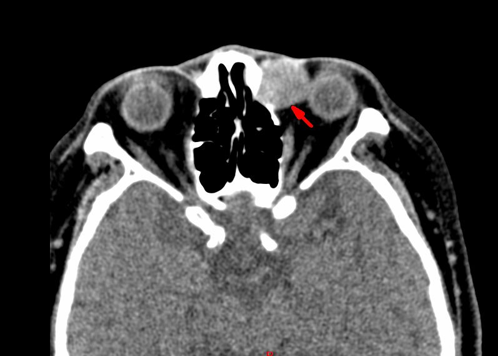
DEK-AFF2 癌是鼻腔鼻窦非角化性鳞状细胞癌的罕见亚型,2022 年 WHO 头颈部肿瘤分类纳入其中。好发于男性(男女比例 3:2),年龄 18~79 岁(中位 58 岁),多见于鼻咽、鼻腔和鼻窦等部位,泪囊发病罕见
DEK 基因(6p22.3)与 AFF2 基因(Xq28)断裂后形成同框融合,嵌合蛋白异常激活转录活性,推动肿瘤发生发展


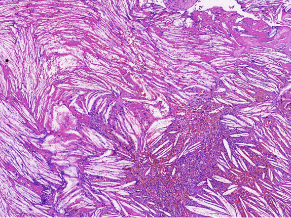
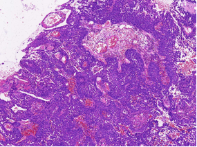
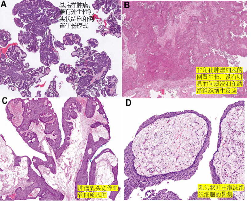
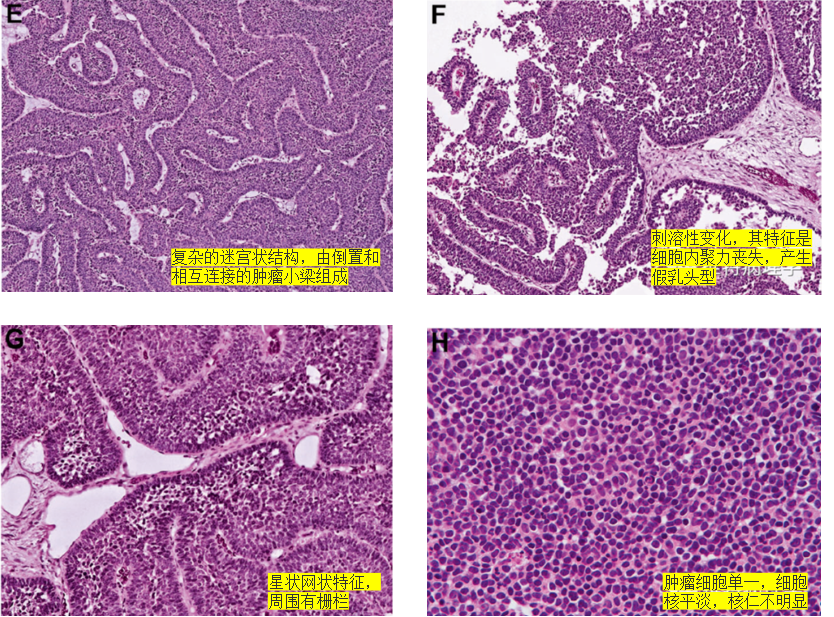
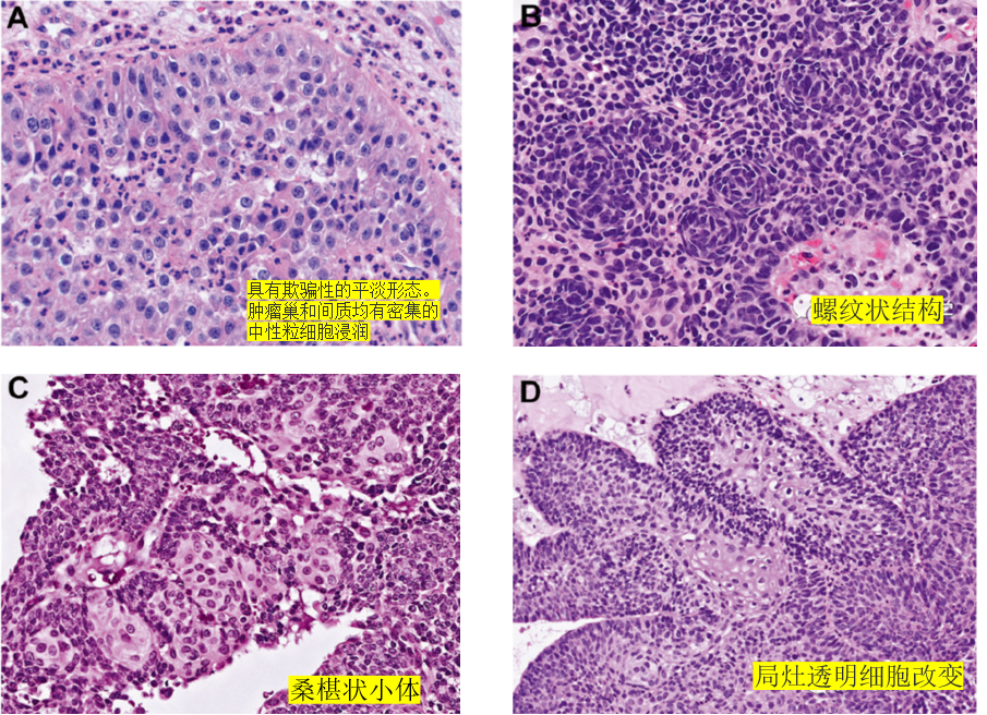
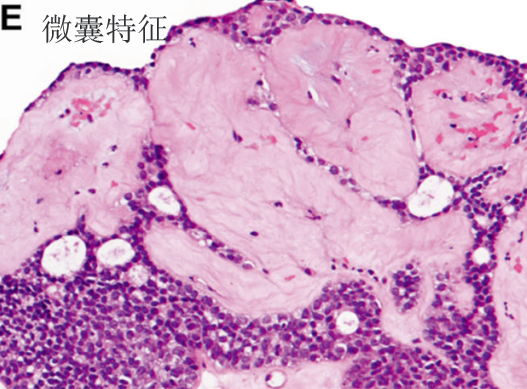
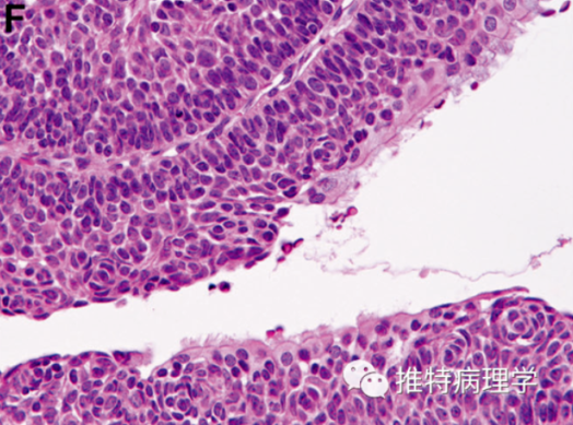
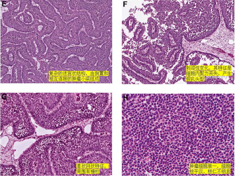
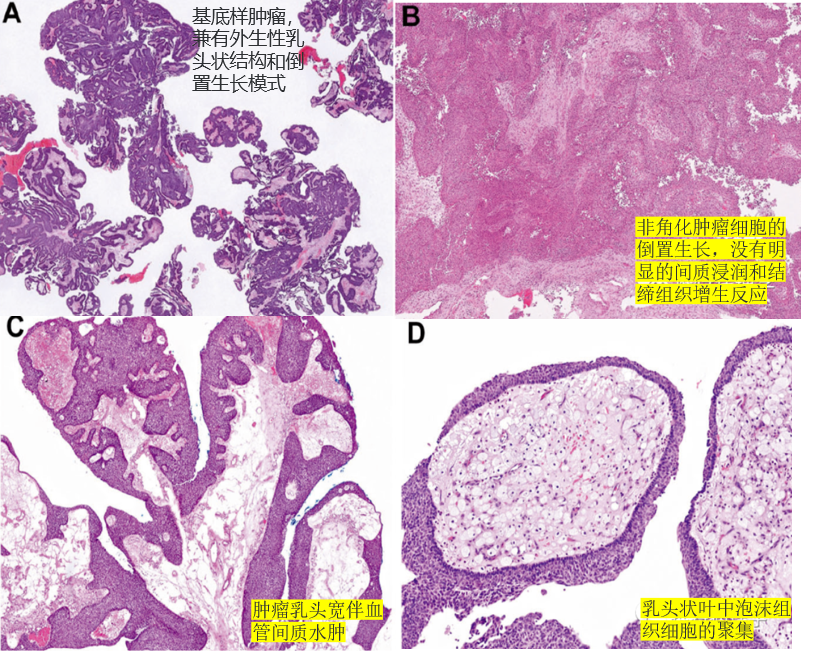
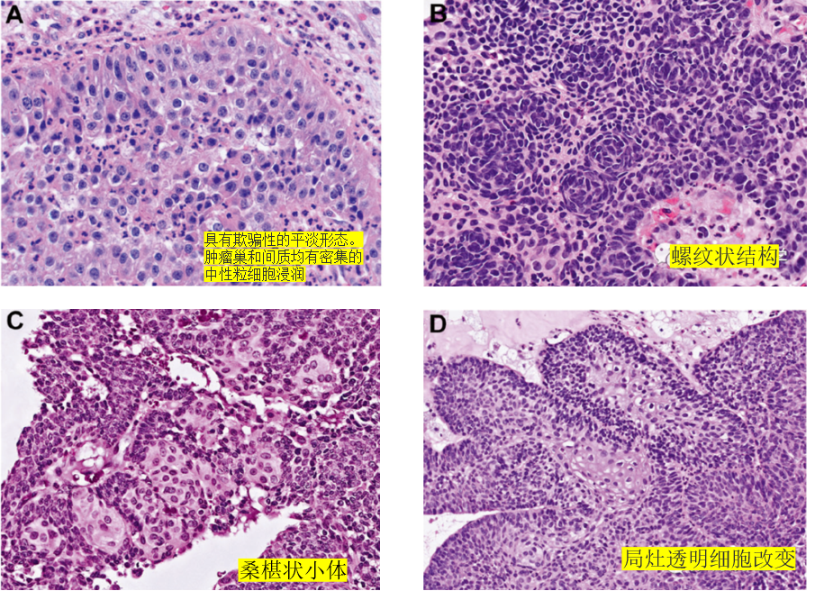
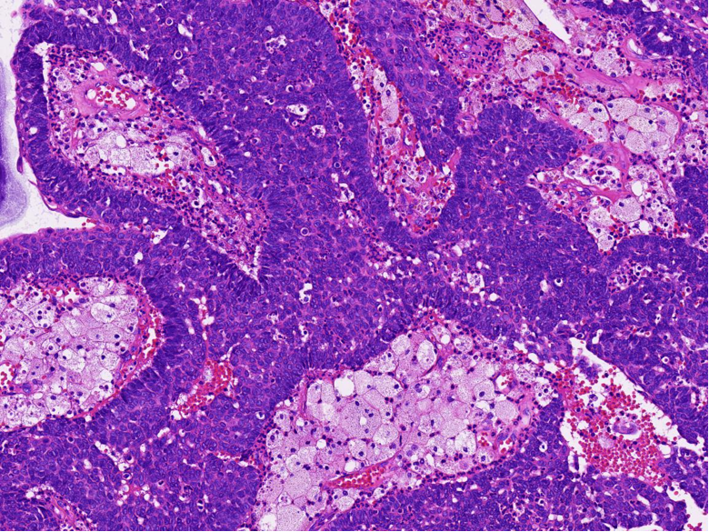
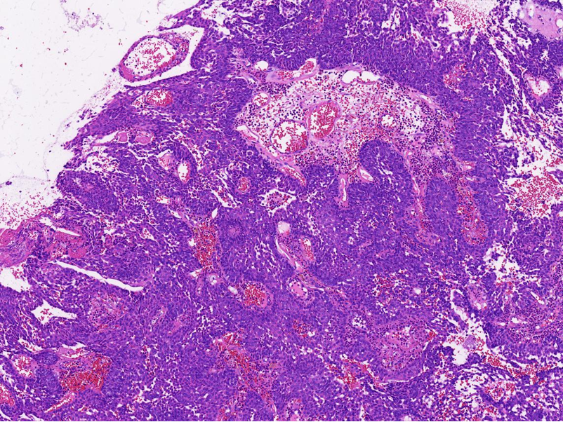
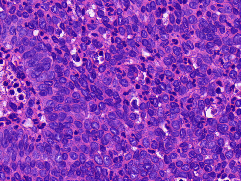
病理特征:宽薄乳头、 迷宫样内翻生长、单一肿瘤细胞形态、棘层松解、显著中性粒细胞浸润;

可见:细胞旋涡、透明细胞变、微囊形成、黏液纤毛上皮帽、部分肿瘤细胞异型性增加、坏死。

免疫组化及分子检测
p63(+)、p40(+)、NUT(-)、p16(灶+或-)
抗AFF2末端抗体具有高度的敏感性和特异性,若30%的细胞呈现中~强的核阳性,对DEK-AFF2癌的诊断具有重要价值
FISH检测DEK 基因断裂分离经济、方便,适于临床开展





具有纤毛上皮帽

分子遗传学

鉴别诊断:
1、内翻性乳头状瘤:乳头结构简单、圆形,巢中央常形成囊腔,细胞成分复杂,包括鳞状细胞、纤毛柱状细胞和杯状细胞,可通过分子检测及AFF2 免疫组化鉴别。
2、病毒感染相关的 NKSCC:细胞异型性和多形性更明显,常伴 EGFR、KRAS 突变,可通过 p16 免疫组化及 HPV、EBER 原位杂交鉴别。
3、与其它肿瘤鉴别:需排除 SWI/SNF 缺陷型肿瘤、NUT 癌等,依赖免疫标记辅助诊断。
AFF2基因融合肿瘤谱系不断扩展,包括鳞状细胞癌、肉瘤、淋巴瘤、中枢神经上皮瘤和高级别神经内分泌癌等,其伴侣基因除DEK外,还有WWTR1、STAG2、TOP2B、LARGE1、H3-3A、NUCKS1、EWSR1及CHD4………
H3-3A-AFF2和NUCKS-AFF2融合的肿瘤:温和的移行细胞样形态伴棘层松解样改变;
EWSR1-AFF2融合肿瘤:高级别腺癌形态伴局灶性神经内分泌标志物表达;
CHD4-AFF2融合肿瘤:小圆细胞癌伴神经内分泌分化。
AFF2重排肿瘤组成了一个具有不同形态学、免疫表型和分化方向的癌症谱系,而且均表达AFF2,提示其可作为所有AFF2重排肿瘤的筛查工具。鉴于AFF2作为上述肿瘤固定的融合伴侣及其蛋白几乎100%特异性表达,有人提出以“AFF2癌”命名此类肿瘤,但目前关于这些肿瘤应归为独立类别,还是根据分化特征进行分类尚未定论,需要进一步研究和总结。
生物学行为:形态温和但具侵袭性,存在高级别转化、局部高复发率、周围组织侵犯风险,可发生淋巴结和远处转移。
预后情况:正是由于局部复发率较高和淋巴结转移率相对较低,相比于鼻腔HPV相关型和非HPV相关型鳞状细胞癌,DEK-AFF2 癌患者无病生存率显著低于鼻腔 HPV 相关型和非 HPV 相关型鳞状细胞癌,总生存率相近。
诊断意义:早期正确诊断对治疗方案制定至关重要,AFF2 免疫组化可作为筛查工具,FISH 检测 DEK 基因断裂经济便捷。
作者简介:方威 主任医师 黄山市人民医院病理科行政主任;黄山市病理质控中心主任;黄山市医学会病理学分会副主任委员;安徽省医学会病理学分会委员;安徽省病理质控中心委员;安徽省医师协会病理科医师分会委员;安徽省抗癌协会临床细胞专业委员会常委;安徽省抗癌协会病理分会委员;安徽省转化医学学会理事;中国抗癌协会肿瘤病理专业委员会骨与软组织肿瘤学组委员;中国抗癌协会肉瘤专业委员会病理学组委员;中国研究型医院学会病理专业委员会委员;长三角病理质控联合体妇产病理学组委员;
《诊断病理学杂志》编委,已在中文核心和科技核心期刊上发表论文20余篇,参与国家级共识与指南编写4部。

